Caso clínico

 

Leiomioma simplástico del espacio de Retzius en una mujer joven

Symplastic leiomyoma of the Retzius space in a young woman

 

Jorge Luis Montes de Oca Mastrapa1* https://orcid.org/0000-0001-9688-6712

Dianet Leyva Serrano1 https://orcid.org/0000-0003-4371-2983

Caridad María Osorio Sosa1 https://orcid.org/0000-0003-1848-9636

 

1Hospital General Docente Guillermo Domínguez López, Puerto Padre. Las Tunas, Cuba.

 

*Autor para la correspondencia. Correo electrónico: montesyela19@gmail.com

 

RESUMEN

Se presenta el caso clínico de una fémina de 39 años de edad, quien fue asistida en el Hospital General Docente Guillermo Domínguez López de Puerto Padre, provincia de Las Tunas, por presentar una masa tumoral de aproximadamente 10 cm en el hipogastrio. Luego de realizados el examen clínico y los estudios complementarios pertinentes, se decidió practicar la resección completa del tumor. Durante el procedimiento quirúrgico, se tomó muestra para biopsia cuyo resultado indicó la existencia de un leiomioma simplástico en el espacio de Retzius. La paciente evolucionó satisfactoriamente y egresó de la institución a los 5 días, pero se continuó su seguimiento por consulta externa.

Palabras clave: leiomioma simplástico; tumor benigno; leiomioma extrauterino; espacio de Retzius.

 

ABSTRACT

The case report of a 39 years woman is presented, who was assisted in Guillermo Domínguez López Teaching General Hospital from Puerto Padre, Las Tunas province, due to a tumoral mass of around 10 cm in the hypogastrium. After the clinical exam and the pertinent complementary studies, it was decided to practice the complete resection of the tumor. During the surgical procedure, a sample for biopsy was taken which result indicated the existence of a symplastic leiomyoma in the Retzius space. The patient had a favorable clinical course and she was discharged from the institution 5 days later, but continued with follow up in outpatient department.

Keywords: symplastic leiomyoma; benign tumor; extrauterine leiomyoma; Retzius space.

 

 

Recibido: 23/09/2023

Aprobado: 02/01/2024

 

 

Introducción

El término mioma es de los más utilizados para definir los tumores benignos del tejido muscular liso, aunque existen otros vocablos en la nomenclatura médica, tales como fibroma, fibromioma y leiomioma.(1)

Se considera que fue Hipócrates (460-375 a. C.) el primero en describir un mioma, quien lo nombró “piedras del vientre”. Posteriormente, Galeno lo denominó escleroma; en tanto, en los textos medievales se plantea que las mujeres —según palabras textuales— “expulsaban huevos de pájaros por sus vaginas”, por lo que al parecer se referían a miomas. En 1854, el patólogo alemán Rudolf Virchow demostró que el músculo liso uterino era el origen de los tumores que denominó miomas. Luego, Carl von Rokitansky, en 1860, y Klob, en 1863, introdujeron el término fibroma.(2)

Los leiomiomas son tumores benignos compuestos fundamentalmente por células musculares lisas, con una cantidad variable de tejido fibroso. Dado que se originan en el tejido del músculo liso, el útero es su localización más común, aunque pueden encontrarse en cualquier órgano que contenga dichas células. Al respecto, los leiomiomas uterinos son los tumores ginecológicos más frecuentes y se presentan en aproximadamente 40 % de las mujeres menores de 50 años y en 20-25 % de las de edad reproductiva; mientras que a los 50 años de edad la incidencia fluctúa entre 70 %, para mujeres de piel blanca, y 80 %, para las de piel negra.(3,4,5)

Asimismo, existen patrones de crecimiento atípicos de localización extrauterina, como en los tejidos blandos profundos de la pelvis y la pared abdominal, donde figuran la leiomiomatosis peritoneal diseminada, la benigna metastatizante intravenosa y la retroperitoneal o parásita.(3)

Su presencia en el espacio de Retzius es extremadamente infrecuente, por lo que en la bibliografía especializada se describen menos de 10 casos.(3) Teniendo en cuenta lo inusual de esta afección, los autores decidieron compartir sus hallazgos con la comunidad médica en general.

 

 

Caso clínico

Se presenta el caso clínico de una fémina de 39 años de edad, quien había presentado síntomas urinarios previos, tales como dolor lumbar, disuria, polaquiuria y orinas turbias. Según refirió, hacía 5 meses se le había realizado urocultivo, cuyos valores fueron normales, así como ecografía abdominal que informó pielocaliectasia bilateral sin litiasis evidente. En esta ocasión fue asistida en el Hospital General Docente Guillermo Domínguez López de Puerto Padre, provincia de Las Tunas, porque dichos síntomas se habían agudizado, a los cuales se añadió detención de la micción, aumento de volumen en hemiabdomen inferior, dolor abdominal, náuseas, inapetencia y pérdida de aproximadamente 15 kg de peso en los últimos 3 meses, por lo que se decidió su ingreso.

En el examen físico se observó abdomen sin cicatrices de intervenciones quirúrgicas previas y una masa tumoral que hacía relieve por encima de la sínfisis del pubis, de aproximadamente 10 cm de diámetro, de consistencia dura, no dolorosa, con bordes regulares, fija a los planos profundos, y muy poco desplazamiento hacia los laterales al tratar de moverla.

 

Exámenes complementarios

    Hematocrito: 0,32 L/L

    Eritrosedimentación: 97 mm/h

    Creatinina: 57 mmol/L

 

Estudio imagenológico

    Radiografía de tórax en vista anteroposterior de pie: Sin alteraciones.

    Ecografía ginecológica: Se apreció útero en retroversión de tamaño y ecogenicidad normales, endometrio homogéneo, de 8,4 mm, canal cervical homogéneo y bien definido, ambos ovarios de tamaño normal, con dotación folicular normal y ausencia de líquido libre en fondo de saco de Douglas; asimismo, por delante del útero y por encima de la sínfisis del pubis se observó una imagen heterogénea, predominantemente hipoecogénica, de 69 x 70 mm, con una porción ecogénica en su interior central y una cápsula de 4 mm, además de aumento de la vascularización, que no guardaba relación con el útero, y alto volumen residual de orina en la vejiga después de la micción espontánea.

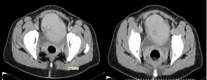
    Tomografía axial computarizada abdominal, simple y con contraste: Las imágenes revelaron una gran lesión tumoral en la excavación pélvica de 9,8 x 8,6 x 7,4 cm, con densidad variable de entre 20-60 UH, que comprimía la vejiga y se proyectaba en la porción anterior de la pelvis (no dependía del útero) hacia la línea media y por delante de la vejiga. El sistema excretor renal no se encontraba dilatado y no existían lesiones hepáticas hipercaptantes, óseas, lumbares ni pélvicas (fig. 1 y fig. 2).

 

Fig. 1. Tomografía axial computarizada (cortes frontal y lateral)

 

Fig. 2. Tomografía axial computarizada simple y con contraste (vista de un corte de la neoplasia)

 

Se discutió el caso en la consulta central de atención a pacientes con enfermedades oncológicas, en equipo multidisciplinario, y se decidió realizar la intervención quirúrgica con el objetivo de resecar el tumor. Dada su localización, se consideró la posibilidad de que el origen de la neoplasia fuera en el uraco.

 

Procedimiento quirúrgico

Se realizó la extirpación completa de la lesión y se obtuvo un tumor de unos 10 cm, de aspecto fibromatoso, que coincidía con las imágenes descritas en los estudios imagenológicos preoperatorios. El tumor se localizaba en el espacio de Retzius, en contacto con los huesos de la pelvis por delante y adherido a la vejiga por detrás, por lo que técnicamente la intervención quirúrgica requirió de mucho cuidado por parte del equipo de expertos (fig. 3).

 

Fig. 3. Extirpación quirúrgica del tumor

 

La muestra tomada para biopsia informó un leiomioma simplástico en el espacio de Retzius.

La paciente evolucionó satisfactoriamente y se le dio el alta hospitalaria 5 días después. Hasta el momento de elaborado este artículo, se mantenía asintomática y con seguimiento por consulta externa.

 

 

Comentarios

El espacio de Retzius es una estructura anatómica que recibe su nombre en recordación del anatomista sueco Anders Adolf Retzius (1796-1860). El término se refiere a un espacio de carácter virtual, localizado en la cavidad pélvica, extraperitoneal, con predominio de tejido graso entre la vejiga y la sínfisis del pubis; también se conoce como espacio prevesical o retropúbico. Sus límites son la fascia transversal por delante, la umbilicovesical por detrás, la inserción del uraco en la región umbilical por arriba o craneal, el ligamento pubovesical por debajo y la grasa preperitoneal de la pared abdominal por los lados.

Por otro lado, este espacio se comunica con otras estructuras, tales como la vaina de los músculos rectos abdominales y de los vasos femorales, el canal inguinal, los ligamentos redondos del útero, los espacios extraperitoneales pélvicos, paravesical, pararrectal y presacro, así como también con el espacio retroperitoneal abdominal.(6)

Todos estos detalles son de gran importancia clínica, ya que las lesiones que aparecen en esta región pocas veces tienen su origen en dicho espacio, sino que suelen extenderse desde áreas cercanas.

Por otra parte, el espacio de Retzius puede afectarse por procesos patológicos de diversas causas, a saber: traumáticos (espontáneos o iatrogénicos), inflamatorios y/o infecciosos y tumorales. Los tumores más frecuentes son de origen metastásico y las neoplasias primarias de la región, ya sean malignas o benignas, resultan raras.(6)

En esta localización es importante tener en cuenta las lesiones derivadas del uraco, que incluyen persistencia completa de este, quiste uracal, seno uracoumbilical, divertículo vesical y adenocarcinomas celulares. Otras lesiones descritas son el linfangioma quístico y el angiomixoma.(7)

Toda la información aquí descrita llevó a considerar la posibilidad de que el tumor tuviera su origen en el uraco.

Cuando estos tumores se encuentran alejados del útero se conocen como extrauterinos y son menos frecuentes que los uterinos;(8) de ahí que la presencia de un leiomioma en el espacio de Retzius se considere muy rara. De igual manera, el leiomioma simplástico (atípico o bizarro) es una neoplasia poco común, pues representa entre 0,5 a 1 % de las neoplasias uterinas;(9) por tanto, la presencia de un tumor con esta variedad histológica en el espacio de Retzius también es infrecuente.

En esta paciente, la localización prevesical del tumor y su considerable tamaño dificultaban el total vaciamiento de la vejiga; es decir, siempre quedaba un remanente importante de orina luego de la micción, lo cual causaba la mayoría de los síntomas urinarios en los meses previos a la intervención, que desaparecieron luego de esta.

La teoría enunciada por Stutterecke en el 2001 plantea que estos procesos neoplásicos extrauterinos se originan en los conductos de Wolff o en restos embrionarios müllerianos.(4)

Otra posible teoría plantea una causa parasitaria, relacionada específicamente con la iatrogenia médica, pues al realizar miomectomía o histerectomía laparoscópica pueden permanecer pequeños fragmentos del tumor en la cavidad abdominal, sin que el cirujano pueda advertirlo, que al adherirse a los órganos o las estructuras vecinas generan una vascularización sanguínea propia y se convierten en miomas parásitos. Estos últimos tienen una incidencia de 0,2 a 1,25 % y son considerados una rara complicación tardía de este tipo de intervención quirúrgica. Según se ha descrito, pueden aparecer en la cavidad y la pared pélvica del intestino delgado, del recto, del ciego, del muñón vaginal, del cérvix y del puerto laparoscópico.(4,10) En el caso aquí descrito no se recoge antecedente de intervención quirúrgica previa, por lo que se excluyó la posibilidad de que fuera un leiomioma parasitario.

Para el diagnóstico de estos tumores, el médico de asistencia se puede valer de estudios imagenológicos, como la tomografía axial computarizada o la resonancia magnética; asimismo, algunos autores se refieren a la importancia de la biopsia percutánea preoperatoria, pero es el estudio histológico de la muestra extraída el que brindará la información definitiva sobre el tipo histológico del tumor y su naturaleza maligna o benigna,(8) como ocurrió en el actual caso.

 

 

Referencias bibliográficas

1. Marrero Quiala L, Serra Valdés M, Aleaga Hernández Y. Leiomioma uterino gigante. Reporte de un caso. Revista Finlay. 2014 [citado 06/08/2023];4(3). Disponible en: https://revfinlay.sld.cu/index.php/finlay/article/view/304

2. Toncel Churio CM, Gallego Vélez LI. Miomatosis uterina: enfoque terapéutico. Curso de Actualización en Ginecología y Obstetricia. 2022 [citado 15/09/2023];29:25-34. Disponible en: https://revistas.udea.edu.co/index.php/ginecologia_y_obstetricia/article/view/347149/20808546

3. Molina Terrón EM, Gallego García S, Serrano Martínez S, Martín García I. Leiomiomatosis extrauterina: revisión a propósito de un caso diagnosticado en nuestro centro. Nuevo Hosp. 2020;16(3):28-35.

4. Forneiro Pérez R, Gallart Aragón T, Jiménez Hernández MC. Leiomioma retroperitoneal. Cir Andal. 2020;31(4):518-22.

5. Molina Granados JF, Escribano Fernández J, Alegre Castellanos A. Leiomioma gigante del espacio de Retzius. Cir Esp. 2010 [citado 06/08/2023];88(1):47-60. Disponible en: https://www.elsevier.es/es-revista-cirugia-espanola-36-articulo-leiomioma-gigante-del-espacio-retzius-S0009739X09004448

6. Ramírez Giraldo C, Luque Bernal RM, Buitrago Rincón MC. Importancia del conocimiento anatómico del espacio extraperitoneal y su utilidad en los abordajes quirúrgicos. Rev Colomb Cir. 2023 [citado 06/08/2023];38:521-32. Disponible en: https://www.revistacirugia.org/index.php/cirugia/article/view/2210

7. Velasco Basantes MA, Pazmiño Palacios JB, Rosales Torres AM, Girón Orellana KA. Carcinoma de uraco patología poco frecuente: reporte de un caso y revisión de
literatura. Rev Guatemalteca Urol. 2021 [citado 06/08/2023];9(1):33-9. Disponible en: https://revistaguatemaltecadeurologia.com/index.php/revista/issue/view/3

8. Shweta, ShaheenA, ZehraM, Afzal A. Leiomyoma in the space of Retzius: a rare location. Int J Reprod Contracept Obstet Gynecol. 2020 [citado 06/08/2023];9(6):2656-8. Disponible en: https://www.ijrcog.org/index.php/ijrcog/article/view/8444/5635

9. De Lorenzi DR, Lucena LF, Guerra Godoy AE, Boff R. Leiomioma atípico. Rev AMRIGS. 2011;55(3):282-5.

10. Velasco García A, González Muñoz A, Mendoza Quevedo J, Barrios JA. Leiomioma parasitario retroperitoneal: reporte de un caso. Ginecol Obstet Mex. 2022 [citado 06/08/2023];90(6):538-42. Disponible en: https://doi.org/10.24245/gom.v90i6.6958

 

 

Conflicto de intereses

Los autores declaran que no existe conflicto de intereses alguno.

 

Contribución de los autores

Jorge Luis Montes de Oca Mastrapa: conceptualización, curación de datos, análisis formal, adquisición de fondos, investigación, metodología, administración del proyecto, recursos, software, supervisión, validación, visualización, redacción–borrador original y redacción –revisión y edición. Participación: 70 %.

Dianet Leyva Serrano: investigación, recursos, visualización, redacción–borrador original. Participación: 20 %.

Caridad María Osorio Sosa: investigación, recursos, visualización, redacción–borrador original. Participación: 10 %.